お知らせ

2006.12.12

◇新しい治療につながる発見――高度な病理診断で。


 高度先進医療の進展に伴い、治療の根拠となる病理診断もまた、ますます高度さを求められる。とくに悪性腫瘍の病理診断は治療方針に直結するため、より正確かつ高度な診断が必要である。悪性腫瘍のうち、私たちは皮膚や内臓の上皮細胞が悪性化するのをがんと呼び、骨・筋肉などの場合を肉腫と呼んでいる。消化管に発生する肉腫のなかで、消化管間質腫瘍(GIST)という病気があり、日本では10万人に2人程度の患者数とされる。主に40歳以上の中高年に見られ、胃に約70%、小腸に約20%発生し、大腸や食道には少ない。従来は平滑筋肉腫などと診断されていたのが、近年の病理学研究の進歩で別の病気だと分かった。
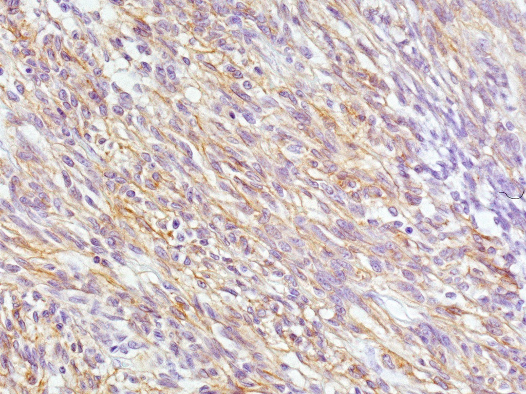
 肉腫の研究に造詣の深い恒吉正澄教授(病理学)によると、GISTは胃や腸のカハール細胞が異常増殖する肉腫である。カハール細胞は消化管壁の中にあって、消化管の蠕動(ぜんどう)運動(食べ物を送り出す動き)を調節している。カハール細胞にかかわるc-kitという遺伝子が変異を起こして活性化し、GISTが発生すると考えられている。最近の病理診断では、特殊な免疫染色方法によってこのc-kit蛋白質を識別できる(写真参照)。
 GISTの治療の第一選択は摘出手術だが、転移例や再発例に対しては、c-kit蛋白質を標的にした分子標的治療薬イマチニブ(グリベックR)が使われるようになった。
 恒吉教授らのグループは最近の研究で、GISTの疾患概念や治療の発展につながる発見をした。それまでc-kit遺伝子の変異は、消化管のGISTに報告されていたが、消化管とは離れた後腹膜や腸間膜に発生する腫瘍でもc-kit遺伝子の変異を見出したのだ。恒吉教授は「後腹膜という軟部組織にGISTが発生するということは、消化管系以外の他臓器などにも発症の可能性が考えられる。また、今後、消化管以外に発生したGISTに対してもイマチニブによる治療が期待される」と話している。

〈写真説明〉
GISTの腫瘍細胞の細胞質の全体に広範に、びまん性に染色されたc-kit蛋白質の免疫染色(茶色に染色)。

〈参考論文〉
Yamamoto H, Tsuneyoshi M, et al. c-kit and PDGFRA mutations in extragastrointestinal stromal tumor (gastrointestinal stromal tumor of the soft tissue). Am J Surg Pathol 28(4):479-88,2004

ページのトップへ