2007.12.29
◇脳磁図で水俣病による脳機能変化を探る!――健康管理やリハビリに生かす共同研究。
私たちが脳機能の検査を受ける場合、脳波を調べたりCT(コンピュータ断層撮影法)やMRI(磁気共鳴画像法)などで撮影する。最近、その欠点を補うMEG(脳磁計)という最先端の診断機器が登場した。九大病院にも、平成19年3月からブレインセンターに導入されている。医学研究院の飛松省三教授(臨床神経生理学)らは国立水俣病総合研究センターとともに、このMEGを使って水俣病の後遺症等が深刻な患者さんの健康管理につなげようと共同研究を始めている。
脳は140億個もの神経細胞がネットワークを構成していて、考えたり感じたりする情報はすべて電気信号で脳の神経系細胞から細胞へと次々に伝わる。その極微細電流によってわずかな磁気(地球の磁気の1億分の1)が発生し、MEGはそれを測定することができる。CTやMRIは脳の中の形状を映し出すが脳の機能は分からない。脳波も伝導性の悪い頭蓋骨に邪魔されて正確な場所が推定できない。MEGは磁気の変化を千分の1秒単位の速さでとらえてコンピューター解析するので、例えばあるものを見た時の脳の反応が、どの部位に起きたかを正確につかめる。これをMRI画面に表記したのがMEGだ。逆にある刺激に対して正常な場合に見られる磁気が生じなければ、脳内での異常を推測できる。MEGは脳波検査のような頭皮に電極を付ける必要もなく、CTのように被爆の心配もない。患者さんの侵襲性は全く無い優れものである。
メチル水銀中毒による水俣病は、神経が障害され、感覚・視野・聴覚障害、小脳失調など特有の神経症状が見られる。その診断は、神経学的症候の組み合わせで判断されているが、客観的な判断は難しい。また、患者さんたちは高齢化し、複雑化する症状は、合併症なのか加齢によるものかをつかめず、効果的なリハビリを評価することも困難なのが実情。
水俣病については、大脳皮質の運動野・体性感覚野・視覚野・聴覚野などの機能について、これまで分かっていない変化をMEGに期待している。水俣病総合研究センターの中村政明総合臨床室長は「検査の結果をある程度定量化、数値化することが出来れば、患者さんたちの健康管理やリハビリなどに繋がる」と話している。
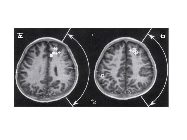
〈写真説明〉脳磁図の1例=広範な大脳皮質異形性(矢印の範囲)により、てんかんを繰り返す5歳児のケース=軽い右手の脱力があるが、感覚障害は無い。MEGにより、てんかん発作波は右前頭葉に推定された(+)。感覚刺激により左感覚野(○)は正常な位置(頭頂葉)に推定されたが、右感覚野(●)は前頭葉に移動していた。これは、脳が傷害を受けると新しい場所に機能が移る(可塑性)ことを、MEGは示している。
